欢迎访问足球网!

结晶紫染色

医学实验主要包括分子生物学、细胞生物学、病理学、免疫学的实验;SCI论文主要包括论文翻译、母语润色改写;专利主要包括发明专利、实用新型专利、外观设计专利的申请;专著主要包括单篇学术论文、系列学术论文和学术专著的出版。

结晶紫染色 当前位置:首页 > 公司产品 > 医学实验 > 病理学 > 特殊染色

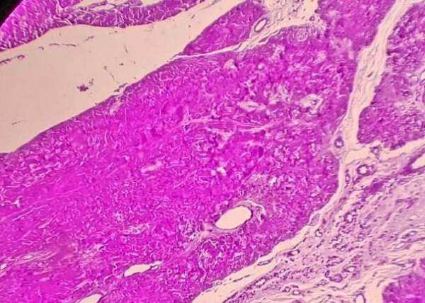
结晶紫染色:结晶紫是一种碱性染料,可以和细胞核中的DNA结合,从而产生细胞核染色。结晶紫染色液(Crystal Violet Staining Solution)是一种组织或细胞染色时常用的可以把细胞核染成深紫色的染色液。用于革兰氏

结晶紫染色

       结晶紫染色:结晶紫是一种碱性染料,可以和细胞核中的DNA结合,从而产生细胞核染色。结晶紫染色液(Crystal Violet Staining Solution)是一种组织或细胞染色时常用的可以把细胞核染成深紫色的染色液。用于革兰氏染色。结晶紫也可称之为龙胆紫。当它溶解后,可以被活细胞摄入。同时可以使DNA、蛋白质、脂肪着色。染色显示细胞核呈蓝色,细胞质呈粉红色。肉眼显示整个细胞呈深蓝色。在分光光度计或酶标仪上可以进行定量分析以评价细胞生长繁殖情况。
上一篇:ATP酶染色
下一篇:油红染色
热门推荐
>
<